歯ぎしり・食いしばりについて
投稿日:2025年10月12日
カテゴリ:未分類
歯ぎしり・食いしばりとは?
◾ 歯ぎしり(ブラキシズムの一種)
寝ている間などに、歯を強くこすり合わせる行為。
ギリギリ・ガリガリという音が出ることが多い。(音が出ない場合もあります。)
◾ 食いしばり
主に日中に歯を強く噛み締める癖。
音は出ませんが、無意識に力が入っている状態です。
(例:集中しているとき、緊張しているときなど)
⚠️ 原因
原因はひとつではなく、次のような要因が組み合わさっています。
-
ストレス・緊張(最も多い)
-
睡眠中の無意識な動き
-
かみ合わせの不調
-
姿勢の悪さ(特に前傾姿勢)
-
スマホ・パソコン作業の多さ
-
スポーツや集中作業のクセ
主な症状・影響
-
歯のすり減り、欠け、ヒビ
-
顎関節症(あごの痛み、音、開口制限)
-
首・肩こり、頭痛
-
朝の顎の疲労感
-
知覚過敏(冷たいものがしみる)
-
歯ぐきの退縮(歯が長く見える)
対策・治療法
1. 歯科での対応
-
ナイトガード(マウスピース)
就寝時に装着し、歯の摩耗を防ぐ。 -
かみ合わせの調整
必要に応じて歯の高さをわずかに整える。 -
ボトックス注射
咬筋の緊張をやわらげる(美容外科・歯科で実施)。
2. 日常でできるセルフケア
-
日中、「上下の歯を離す」意識を持つ(常に少し隙間があるのが正常)。
-
顎・首・肩をリラックスさせるストレッチを行う。
-
寝る前のリラックスタイムを設ける(深呼吸・入浴など)。
-
カフェインやアルコールを控えめに。
-
就寝時の姿勢を整える(仰向けが理想)。
簡単セルフチェック
次のうちいくつ当てはまりますか?
-
朝起きたときにあごが疲れている
-
頭痛・肩こりがある
-
歯がしみる、削れている
-
集中するとき無意識に噛み締めている
-
家族やパートナーに「歯ぎしりしてる」と言われた
2つ以上当てはまるなら、歯科で一度相談をおすすめします。
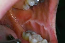
日々の簡単なセルフチェックの方法として写真のような跡がないかご確認ください。


マミー歯科クリニック
■ 他の記事を読む■


